Einsatzbericht Uganda November 2024

Katate Health Center

Aus privaten Gründen konnte ich dieses Mal nur für einen kürzeren Einsatz nach Uganda reisen. Die Anreise erfolgte wie beim letzten Mal über Kigali in Ruanda mit einer Zwischenübernachtung. Am nächsten Morgen wurde ich von einem Fahrer im Hotel abgeholt, und nach dem langwierigen Grenzübertritt nach Uganda erreichten wir das Katate Health Center in Kanungu am Nachmittag.

An der Grenze stockte mir kurz der Atem als ich von einem Grenzbeamten nach meinem Impfpass und der vorgeschriebenen Gelbfieberimpfung gefragt wurde. Den hatte ich dummerweise vergessen mitzunehmen. Ich erklärte, diese Impfung 1979 erhalten zu haben, man benötigt sie nur einmalig im Leben. Nach einigen Wortwechseln hat er mich zum Glück mit einer lässigen Handbewegung durchgewinkt.

Im Katate Health Center angekommen wurde ich von Mitarbeitern, Schwestern und Ärzten sehr herzlich begrüßt. Dr. Holger Listle war dieses Mal in Begleitung von zwei jungen Frauen angereist. Lisa, sie stand kurz vor dem Examen in ihrer Ausbildung zur Hebamme, und Natalie, Physician Assistant in ihrem zweiten Einsatz im chirurgischen OP des Krankenhauses.

Gemeinschaftlicher Empfang bei unserer Ankunft
Gemeinschaftlicher Empfang bei unserer Ankunft

In der Dentistry hatte es einen Wechsel gegeben. Der bisherige Dental Officer Tadeo hatte im Sommer unerwartet und kurzfristig das Krankenhaus verlassen. Ein bedauernswerter Verlust, er hatte fachliches Potential, und wir hatten einigen Aufwand in seine Weiterbildung investiert.

Zwischenzeitlich hatte der Verwalter Martin Kafanda Atukwase aber in Adriano Bainomugisha einen guten Ersatz einstellen können. Adriano erwies sich als ebenso interessiert an fachlicher Weiterbildung und Erweiterung seines zahnmedizinischen Behandlungsmöglichkeiten.

Die ebenfalls neu eingesetzte Dental Nurse Ritah ist ein echter Zugewinn. Sie ist interessiert an der Zahnmedizin, nimmt Erklärungen und Empfehlungen zur Behandlungsorganisation auf, setzt sie um und arrangiert sich kreativ und tapfer mit den Bedingungen in der kleinen Zahnarztpraxis.

Zeitweise war Dr. Elly vor Ort, ein Zahnarzt der sich in Ausbildung zum Maxillofacial Surgeon an der Universität in Kampala befindet. Leider übersteigt seine kommunikative Dominanz und Selbsteinschätzung ein wenig seine tatsächlichen Fähigkeiten. Mittlerweile wurde er von der Mitarbeit suspendiert.

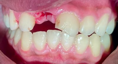
Frontzahntrauma, Avulsion mit trockener Lagerung des Zahnes über 3 Tage
Frontzahntrauma, Avulsion mit trockener Lagerung des Zahnes über 3 Tage
Replantation und Drahtschienung mit intermaxillärer Fixation bei ungünstiger Prognose, durchgeführt von Dr. Elly gegen meinen Rat
Replantation und Drahtschienung mit intermaxillärer Fixation bei ungünstiger Prognose, durchgeführt von Dr. Elly gegen meinen Rat

Da die Bevölkerung vorab über das Radio informiert wurde, war der Andrang von Patienten wieder groß. Viele von Ihnen wünschten die Entfernung schmerzender oder zerstörter Zähne. Die Gebißzustände sind oft desaströs und bedürften nach unseren Maßstäben einer systematischen Sanierung. Viele Menschen entscheiden sich aber für die Extraktion, da sie sich zahnerhaltende Maßnahmen finanziell nicht leisten können.

Möglicherweise hat es sich herumgesprochen, dass im Katate Health Center durchaus qualifizierte Zahnerhaltung möglich ist. So konnten wir gemeinsam Seitenzahnrestaurationen mit Matritzentechnik und Amalgam, sowie einfachere zervikale und mehrflächige Compositrestaurationen demonstrieren und trainieren. Auch für Adriano nicht vertraute Vorgehensweisen haben wir gemeinsam erarbeitet. Wie beispielsweise die Anwendung von Retraktionsfäden bei epigingivalen Zahnhalsfüllungen oder die Verwendung von Holzkeilen, um approximale Materialüberschüsse zu vermeiden.

Einige endodontische Fälle, zunächst einwurzelige Zähne, haben wir nach Demonstration gemeinsam durchgeführt. Hierbei erwies sich die bisher nicht bekannte Aufbereitung mit reziprok arbeitenden Nickeltitanfeilen als einfache, gute Methode, um zügig Wurzelkanäle aufzubereiten. Eine Methode, die immer wieder Begeisterung auslöst. Die notwendigen Materialien hatte ich bereits beim letzten Einsatz mitgebracht. Die Obturationtechnik der Wurzelkanäle ist noch verbesserungsbedürftig. Man kann einfach nicht die gesamte Zahnheilkunde in wenigen Wochen unterrichten und lernen.

Bei einigen Patienten konnte ich die Regeln der Zahnpräparation für Kronen demonstrieren, wie beispielsweise Hohlkehlpräparation, Kontrolle von Unterschnitten und Einschubrichtung, Überprüfung von interokklusalem Platzbedarf. Die Korrekturabformung nach Gingivaretraktion erwies sich als sehr herausfordernd. Insbesondere wenn man mit ungewohntem, kondensationsvernetzendem Silikonmaterial mit unbekannter Aushärtungsdauer arbeiten muss. Bei der Eingliederung von einfachem Zahnersatz und Kontrolle von Füllungen haben wir immer wieder auf die Notwendigkeit der Okklusionskontrolle hingewiesen.

Kollege Listle hat wie immer ein umfangreiches OP-Programm abgearbeitet und sich ansonsten mit vielen Verwaltungs-, Planungs- und Erhaltungsaufgaben beschäftigt. Diesbezügliche Themen sind ständig präsent.

Neben dem üblichen Surgical Camp von Kollegen Listle fand auch ein »Eye Camp« statt. Ein Augenarzt aus der Uniklinik in Mbarara kam bereits zum zweiten Mal mit zwei Assistenzmitarbeitern, chirurgischer Ausstattung und einem OP-Mikroskop in das Katate Health Center. Nach Untersuchung von zahlreichen Patienten mit Augenproblemen, insbesondere Grauem Star, also Linsentrübung, hat er im dortigen OP Katarakt-OPs und Implantationen von künstlichen Linsen ausgeführt.

Katarakt-OP mit Hilfe eines Operationsmikroskopes durch einen Gastarzt
Katarakt-OP mit Hilfe eines Operationsmikroskopes durch einen Gastarzt

Am Wochenende sind wir dann zu viert in Begleitung von Verwalter Martin in den nicht weit entfernten Quee-Elizabeth-Nationlpark gefahren. Untergebracht waren wir in der schön gelegenen Embogo-Lodge. Von dort aus sind wir frühmorgens zu einem langen Game Drive (Safari) aufgebrochen und konnten viel Großwild beobachten wie Elefanten, Büffel, Warzenschweine, Affen, sogar einen Leoparden, einen Baumlöwen und zahlreiche  andere Tierarten.

Mein Resumé lautet, das Projekt Dentistry entwickelt sich weiter, bleibt nachhaltig und lohnenswert für weitere Aufbauhilfe. Längerfristig gibt es die Idee, ein kleines eigenes Gebäude zu errichten, mit einem Behandlungsraum und Steri mit Lagerraum. Durch diese Erweiterung könnte die Enge im derzeitigen Behandlungsraum behoben und die Materiallagerung, Vor- und Nachbereitung erleichtert werden. Außerdem könnte der jetzige Behandlungsraum im OP-Gebäude zu einem Eingriffsraum für kleinere Chirurgie umgewandelt werden. Wünschenswert wäre auch die Einrichtung einer Röntgenanlage für Zahnfilme. Das würde die Diagnostik deutlich sicherer gestalten und ansonsten unentdeckte Befunde erkennbar machen. Dafür muss aber zunächst die Finanzierung gesichert sein.

Die Rückreise über Ruanda verlief nach 5- bis 6-stündige Autofahrt und Grenzübertritt reibungslos.

     

Spenden

Wenn Sie die Arbeit an diesem Projekt mit einer Spende unterstützen möchten, geben Sie bitte das Kennwort „Uganda Zahnstation“ als Verwendungszweck an. Vielen Dank.

Der Anteil an Verwaltungs- und Werbekosten liegt bei unter 1%, so dass jede Spende fast vollständig für zahnärztlichen Versorgung verwendet wird.

Bankverbindung
Dentists and Friends
Deutsche Bank Ulm
DE25 6307 0088 0055 8833 00
DEUTDESS630